2024年11月13日,新葡的京集团350vip8888/新葡的京集团350vip8888陈小勇经理于线上为教师们进行了一场解剖教学系统基本操作的培训,其内容涉及七大模块,包括系统解剖、局部解剖、断层解剖、影响解剖、标本解剖、图片库和视频库。公司全体教师参加了此次培训会议。
公司采用人体3D数字化解剖教学系统,中英双语对照,鼠标滑过均有名称显示,涵盖内容也精细广泛,各个系统分门别类并细分树状菜单,老师们轻点下拉点击就可以详细地察人体各个部位。
陈小勇经理首先讲述了系统解剖的基本操作功能,例如,收藏功能、截图功能、图钉(标注)功能、剖切功能等,其中模拟手术刀的功能的魅力得到充分展现,它通过层层剥离,可以完美体验临床实验解剖,指导老师教学工作。

(系统解剖)
局部解剖较系统解剖则更为精确,其收录了筋膜,更为详细的神经和血管,标注了起止点的肌肉附着点等等。在会议观察过程中,陈小勇经理具体阐述了局部解剖和系统解剖内容的区别,讲解了其放大、缩小和旋转等功能。同时,经理寄予老师厚望,希望教师们认真学习使用。

(局部解剖)
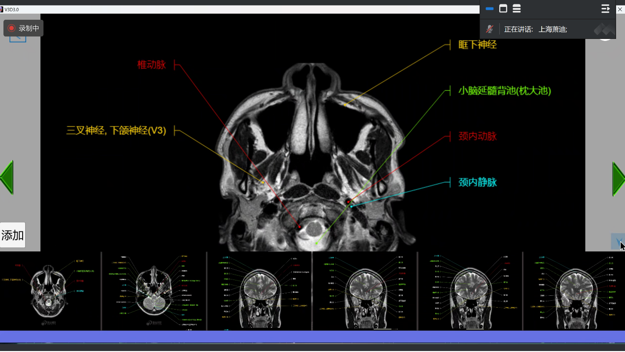
断层解剖包含标本高清图片断层和3D断层,它可以冠、矢、水平三面切割并自由拆分。影信解剖共收录了5000多张影像供老师学习使用,其有添加功能,老师们可以将好的医学影像作品上传添加。标本解剖也按系统分配划分,拥有3D解剖重建功能。图片库收录了400多张高清解剖的4D标本照片,内容丰富充实。

(断层解剖)

(影像解剖)

(标本解剖)

(图片库)
视频库收录了500多个解剖精选视频,内容涵盖生理解剖、3D解剖、健身运动、关节运动、中医穴位、肌肉运动、解剖微课等。其中肌肉动画更直观地展示了我们的肌肉活动,解剖微课采用公司获奖作品,更加贴近公司教学工作。

(视频库)
陈小勇经理通过理论讲解不仅让教师们对解剖系统有了更深刻的认识,还结合实际进行分析和演示,让教师们更加直观地了解操作过程中的具体细节,教师们认真聆听,并提出自己的疑问和见解。
最后,陈小勇经理对本次培训进行了总结,鼓励教师们在今后的教学中积极应用所学知识,为今后的教学工作打下坚实的基础。